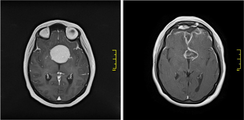
Операция по удалению крупной опухоли в голове прошла в новосибирском НИИИТО. Женщине был поставлен диагноз — менингиома турецкого седла, которая сдавливала и обрастала зрительные нервы и обе сонные артерии. Опухоль полностью разрушила левый зрительный нерв и нанесла поражение другим сосудам.
Микрохирургическое удаление менингиомы провел врач Вячеслав Ступак. В настоящее время пациентка была выписана, зрение женщины постепенно возвращается.




